1.5 Gly-Gly-MIPMs动态吸附性能的测定
取0.20gGly-Gly-MIPMs,加入1.0mmol/L的双甘氨肽评价溶液20mL,25℃振荡吸附,每隔10min取样测定Gly-Gly-MIPMs对Gly-Gly的吸附量。
1.6 Gly-Gly-MIPMs薄层色谱的制备
分别取吸附剂(Gly-Gly-MIPMs与NMIPMs)和煅石膏各0.5g,加入5mL水超声混合充分,并均匀涂覆在载玻片上制得2种不同的色谱板,在105℃活化2h后置于干燥器内备用;分别配制0.5mg/mL的甘氨酸(Gly)、双甘氨肽(Gly-Gly)和谷胱甘肽(GSH)3种溶液,并用毛细管在色谱板上点样;再将点样后的色谱板置于配有展开剂(V乙醇/V水/V乙酸=40/15/1)的展缸中进行展开;最后取出色谱板常温下晾干,均匀喷洒茚三酮乙醇溶液,105℃烘干显色并量取相应的展开距离。
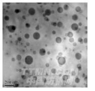
2.1Gly-Gly-MIPMs的形貌及粒径表征
采用最优工艺(nGly-Gly∶nAM∶nEDMA=1∶4∶8,AM和Gly-Gly超声预作用30min后45℃下反应5h)所制备的Gly-Gly-MIPMs,通过TEM和激光粒度分析仪对其形貌和粒径进行表征,结果如图1、图2。
.jpg)
图1Gly-Gly-MIPMs的TEM图
Fig.1TheTEMimageofGly-Gly-MIPMs
图2Gly-Gly-MIPMs的粒径分布曲线
Fig.2ThesizedistributioncurveofGly-Gly-MIPMs
从图1可以看出,Gly-Gly-MIPMs具有良好的球形度且粒径较均匀,图2的粒径分布曲线进一步证实了聚合物粒子的平均粒径约为100nm,且分布较窄。这在一定程度上保证了所制备的Gly-Gly-MIPMs能够在水相很好地分散,从而对Gly-Gly分子进行更好识别。
2.2 Gly-Gly-MIPMs的吸附性能表征
2.2.1Gly-Gly-MIPMs的静态吸附性能吸附等温线目前是评价印迹聚合物亲和特性的主要方法[13]本实验采用静态平衡吸附实验,在Gly-Gly溶液浓度为0.3~5mmol/L范围内,测定了Gly-Gly-MIPMs和NMIPMs对于Gly-Gly分子的吸附结合量,得到不同初始浓度溶液的吸附等温线,结果如图3所示。
[1][2][3][4]下一页>>
相关信息 







推荐企业
推荐企业
推荐企业